首页
资讯
视频
直播
凤凰卫视
财经
娱乐
体育
时尚
汽车
房产
科技
军事
文化
旅游
佛教
国学
数码
更多
健康
公益
教育
酒业
美食
凤凰视频
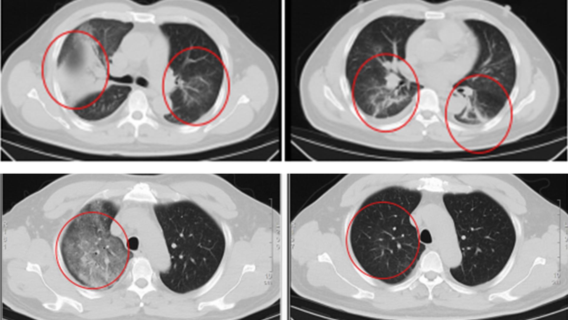
江苏确诊一例罕见传染病“Q热”,当事人病发前刚从非洲回来
2025-01-08 15:50:18
00:14
0
来自上海市